Centro Diagnostico TC (tac)
Centro Diagnostico Gardavet: disponiamo di un servizio TC (TAC) a 64 strati per la Diagnostica per Immagini Avanzata. Diagnosi sempre più accurate a disposizione anche per i nostri amici Animali
Servizio TAC/TC Veterinaria: Il centro diagnostico Gardavet
La Tomografia Computerizzata (TC o TAC) è una tecnica di diagnostica per immagini avanzata che utilizza i Raggi X per ottenere scansioni complete delle diverse parti anatomiche, ricostruibili in 3D, con alta precisione diagnostica (superiore a radiografia ed ecografia).
Il Centro Diagnostico Gardavet si avvale della collaborazione del Dr Mattia Bonazzi per l’interpretazione e refertazione degli esami eseguiti in T.C. Vedi curriculum a piè di pagina
Nella tomografia computerizzata un tubo radiogeno (fonte di raggi X) ruota attorno al paziente e raccoglie l’immagine di una sezione del paziente; il lettino del paziente scorre all’interno di un tunnel dove avviene la scansione, presentando a ogni giro una sezione diversa del corpo.
Nella TC spirale l’acquisizione delle immagini avviene mediante una rotazione continua del tubo radiogeno mentre il tavolo porta il paziente su un piano di scorrimento: i piani di scansione descrivono un’elica attorno al paziente, ottenendo così una scansione spirale.
I tomografi ad acquisizione spirale possono ottenere in una rotazione una singola sezione corporea (singolo strato) o multiple sezioni corporee (multistrato).
La tecnologia disponibile presso il Centro Diagnostico Gardavet ( Toshiba Aquilion 64 st) permette di ottenere 64 sezioni corporee (TC 64 strati) submillimetriche in una singola rotazione della durata di 0,4 secondi: circa 10 secondi bastano ad analizzareun cane di grossa taglia total body riducendo la durata dell’anestesia, che a differenza della medicina umana, in veterinaria è ovviamente necessaria.
In un tempo molto inferiore rispetto alle tecniche tradizionali questa attrezzatura è in grado di fornire un numero molto più elevato di immagini, migliorando la qualità, l’affidabilità e la precisione diagnostica.
Una indagine TC viene richiesta per chiarire dubbi diagnostici rilevanti, ai quali esami preliminari, più semplici e meno costosi (radiografie ed ecografie) non sono riusciti a fornire una risposta definitiva.
Per la valutazione dell’apparato scheletrico e articolare generalmente non serve l’utilizzo del Mezzo di Contrasto (MdC) la cui somministrazione, per via orale o endovenosa, è generalmente necessaria nello studio dei parenchimi e indispensabile nelle indagini vascolari.
Di notevole rilevanza è lo studio mediante TC dei pazienti oncologici al fine di stadiare la patologia, valutare l’estensione e l’invasività del tumore e la presenza o meno di eventuali metastasi. L’esame TC permette il riscontro di formazioni millimetriche che sfuggirebbero a un esame radiografico pur di elevata definizione.
L’IMPORTANZA DELLA TAC PER GLI ANIMALI ESOTICI
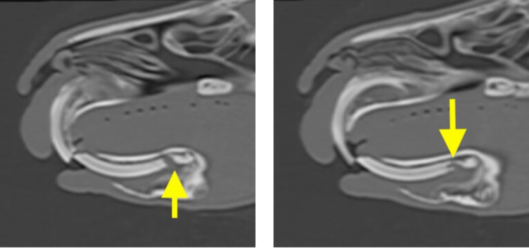
L’esame TAC rappresenta ormai il gold standard per la valutazione delle patologie del cavo orale di conigli e piccoli roditori (cavie, cincillà…). Per le caratteristiche particolari dei loro denti, infatti, conigli e piccoli roditori sono predisposti a problemi di malocclusione, allungamento dentale, ascessi e fratture. In tutte queste situazioni, la TAC garantisce la massima precisione diagnostica, più accurata di quanto si riesca ad ottenere dalle tradizionali radiografie. La possibilità di ricostruzione in 3D in corso di patologia dentale, inoltre, rappresenta un valido aiuto pre-operatorio per programmare un intervento dentale.
Non solo Tac…
Dr. Mattia Bonazzi
Clinica Veterinaria Gardavet
Laureato presso la Facoltà di Medicina Veterinaria di Parma nel Febbraio 2002, ha sostenuto l’esame di stato a Parma nel 2002 ed è iscritto all’Ordine di Modena al n° 615.
- Leggi tutto…
Dottore di Ricerca (PhD) con borsa in Radiologia e Diagnostica per Immagini (UNIPR).
Ha trascorso un periodo d’attività clinico-formativa di un anno alla Sezione di Radiologia e Diagnostica per Immagini della Cumming School of Veterinary Medicine at Tufts University, Massachussets (USA).
Ha lavorato come freelance per il gruppo Ultravet Diagnostic dal 2006 al 2010.
Diploma di Master Universitario di II livello in Diagnostica per Immagini del Cane e del Gatto (UNICAM).
Dal 2010 è membro fisso dello staff della Casa di Cura Veterinaria San Geminiano dove si occupa prevalentemente di Diagnostica per Immagini e Cardiologia.
Dal 2017 collabora come contrattista con l’Unità Operativa di Diagnostica per Immagini dell’Ospedale Veterinario Didattico dell’Università di Parma (UNIPR) occupandosi prevalentemente di diagnostica tomografica computerizzata (TAC).
Autore di pubblicazioni scientifiche su riviste nazionali ed internazionali.
Centro Diagnostico TC (tac)
Chiedi Info o Prenota Visita:
scegli e-mail o telefono!
Visite su Appuntamento
Puoi telefonare negli orari e giorni sotto indicati, altrimenti scrivici via e-mail e ti contatteremo noi quanto prima! Ti ricordiamo che le visite sono su appuntamento.
030 9901570
Dal Lunedì al Venerdì
Dalle 09.00 alle 13.00
Dalle 15.00 alle 19.00
Telefono
Puoi telefonare negli orari e giorni sotto indicati, altrimenti scrivici via e-mail e ti contatteremo noi quanto prima! Ti ricordiamo che le visite sono su appuntamento.
030 9901570
Dal Lunedì al Venerdì
Dalle 09.00 alle 13.00
Dalle 15.00 alle 19.00
Sede
La Clinica Veterinaria GardaVet si trova a Desenzano del Garda, Brescia. Riceviamo su Appuntamento.
Scopri















